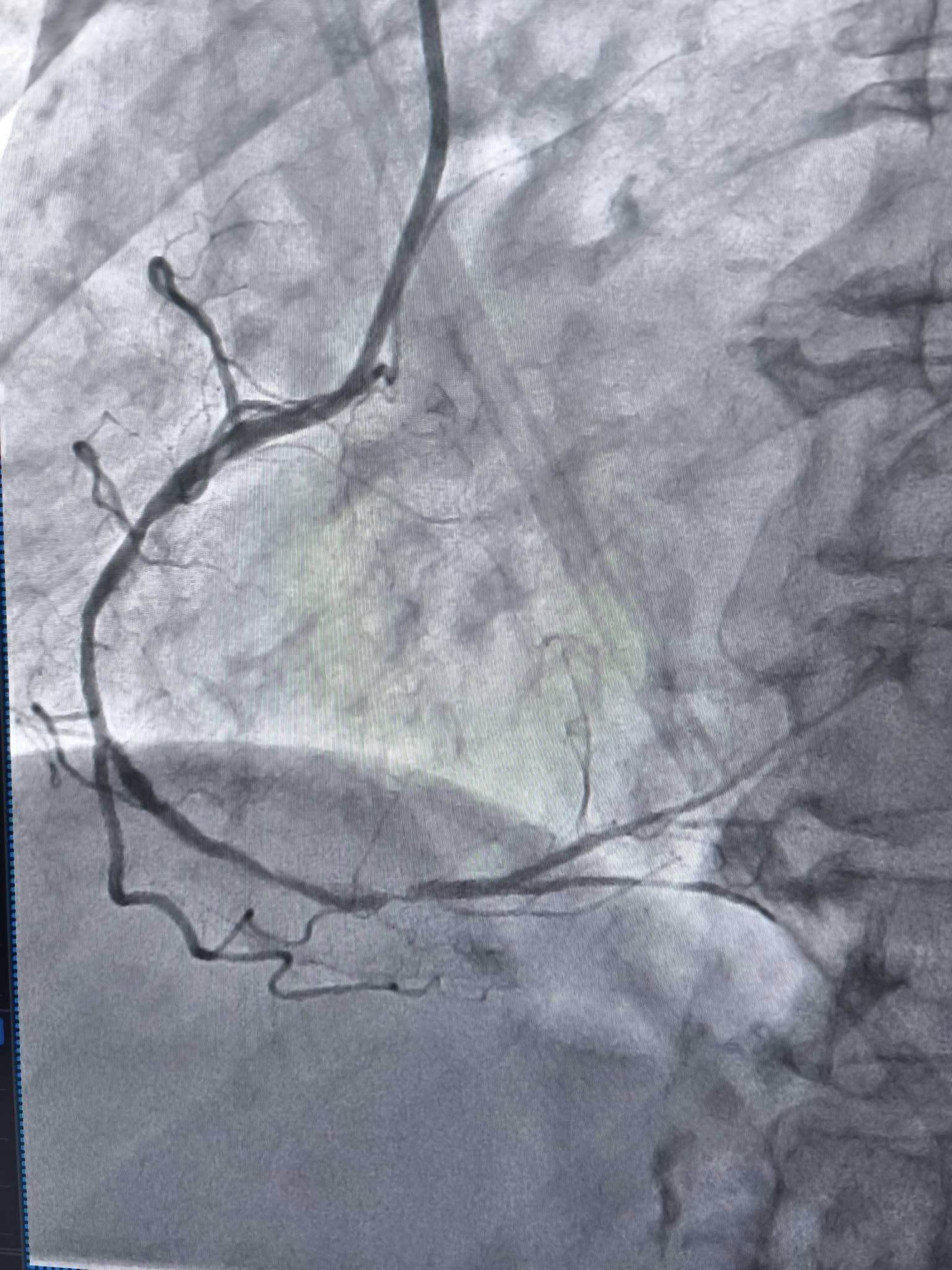
Фахівці Тернопільської обласної клінічної лікарні вийшли на новий рівень надання кардіологічної допомоги. У медзакладі успішно провели першу в області процедуру ротаційної атеректомії – складного втручання, яке рятує пацієнтів із критичним «закаменінням» артерій. Про це повідомили у Тернопільській обласній раді.
Пацієнтка потрапила до лікарні зі значним звуженням правої коронарної артерії. Ситуація була критичною: через виражений кальциноз (відкладення солей кальцію) судина стала настільки твердою, що стандартні методи розширення виявилися безсилими.
За словами завідувача відділення інтервенційної радіології та кардіології Богдана Маслія, лікарі намагалися розширити судину балоном під тиском 25 атмосфер. Для порівняння: це у 10 разів більше, ніж тиск у колесі автомобіля, проте навіть така сила не змогла подолати опір кальцію.
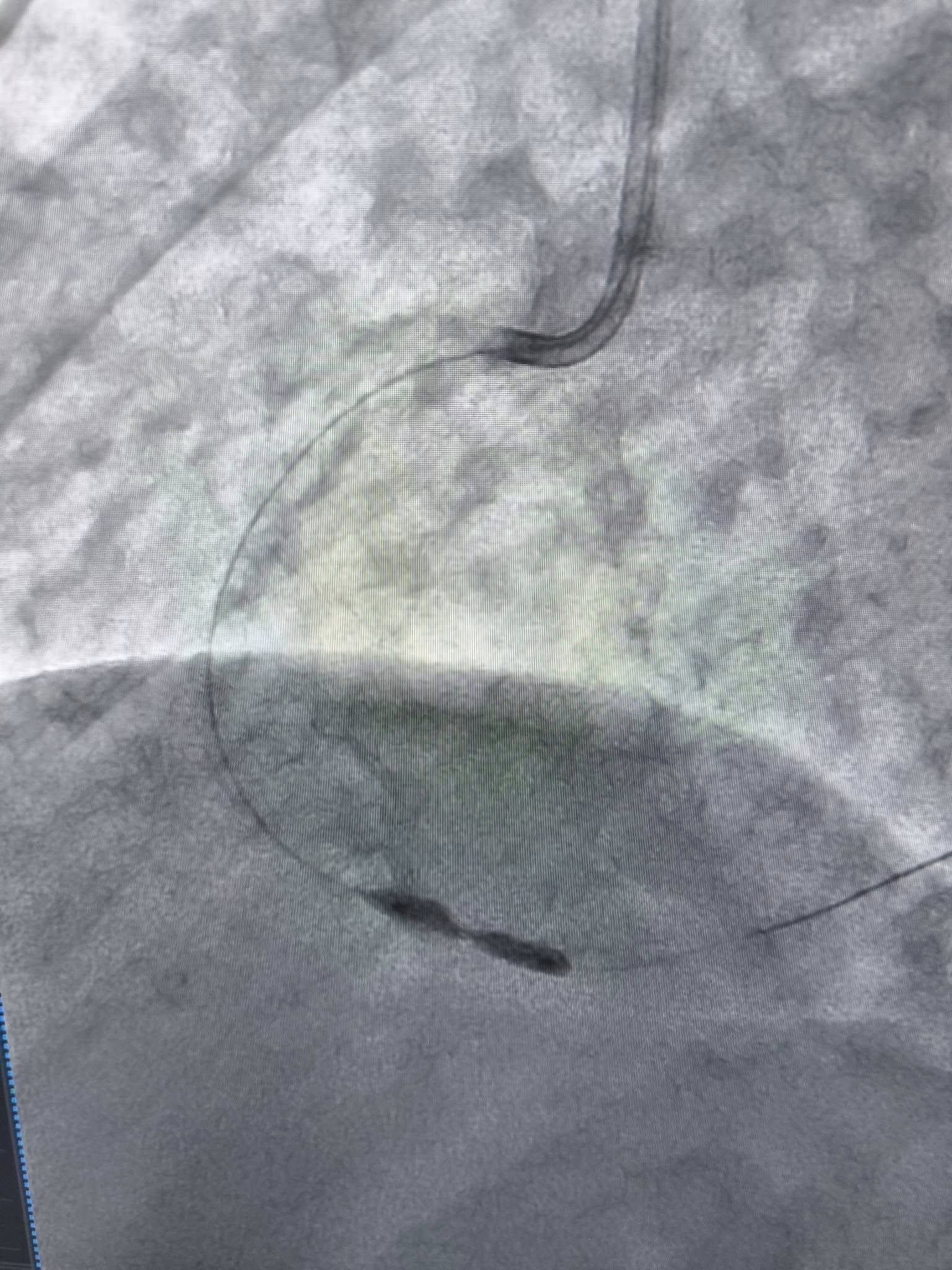
Єдиним виходом стало застосування ротаблятора – пристрою з крихітним буром, що має діамантове напилення.
Як працює цей метод:
- Бур обертається з величезною швидкістю, фактично «шліфуючи» кальциновану бляшку зсередини.
- Процедура модифікує структуру судини, роблячи її знову еластичною.
- Після «шліфування» лікарі отримують можливість безперешкодно встановити стент, який відновить нормальний кровотік.

Раніше пацієнти з такими складними діагнозами змушені були їхати до столиці або великих наукових центрів в інших регіонах. Тепер високоспеціалізована допомога доступна безпосередньо у Тернополі.
«Виконання такої процедури означає, що пацієнти Тернопільщини можуть отримати сучасну допомогу вдома. Це втручання стало важливим кроком для нашої лікарні та всієї області», – наголосив Богдан Маслій.
Успішне проведення ротаційної атеректомії відкриває двері для лікування найскладніших випадків ішемічної хвороби серця, які раніше вважалися технічно неможливими для оперування в межах області.
Читайте також: У Тернополі медики «швидкої» врятували чоловіка після зупинки кровообігу
У Тернополі медики «швидкої» врятували чоловіка після зупинки кровообігу



















